Cet article fait partie du dossier

Myxomycètes : rencontre du 3e type

Le myxomycète est une énorme cellule

Revenons au myxomycète. Gros plan sur cette amibe colorée et gluante qui rampe dans le sous-bois : très probablement l’une des plus grandes cellules vivantes au monde.

Abonnés
Géant ! - La Salamandre
Le myxomycète est une gelée vivante qui se déplace à la recherche de nourriture ou d’humidité. Présentez-lui par exemple un flocon d’avoine. Pour l’engloutir, il s’en rapprochera au rythme d’environ 1 cm à l’heure. / © Gilbert Hayoz
Géant ! - La Salamandre
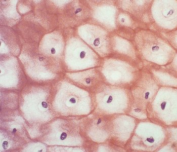
Cette coupe à travers un tissu humain révèle ce qui nous différencie fondamentalement des myxomycètes : comme tous les animaux, les plantes et les champignons, nous sommes composés de milliards de cellules. / © Zellen Gebaermutter / Keystone

Tous les êtres vivants qui partagent notre quotidien sont construits selon le même modèle. Nos parents et nos amis, le chien qui aboie devant la maison, nos plantes vertes, la mouche contre la fenêtre, tous sont constitués d’un nombre astronomique de cellules. Celles-ci portent le même patrimoine génétique codé dans l’ADN de leur noyau. En d’autres termes, chaque être humain comme vous et moi est le prodigieux résultat d’une étroite collaboration entre 60’000 milliards de cellules, pour la plupart extrêmement petites.

Le myxomycète est construit selon un plan radicalement différent. C’est une seule cellule, géante. Elle peut atteindre une taille de plusieurs dizaines de centimètres. Quelle réussite pour une amibe isolée et microscopique ! Qu’est-ce qui a permis pareil changement d’échelle ?

Cellule unique

Au lieu de vivre sa vie d’amibe normale qui se divise immuablement par deux, notre héroïne partage son noyau, mais continue à ne former qu’une seule cellule. Comme si elle rechignait à se dédoubler.
Et ça continue : toutes les huit à dix heures, les noyaux toujours plus nombreux se multiplient de manière parfaitement synchronisée. La cellule unique gonfle, sa croissance s’accélère au fur et à mesure que le myxomycète se déplace et dévore toujours davantage de bactéries. Ainsi finit-il par être visible et par former ce qu’on appelle un plasmode. Ce protozoaire géant est pourvu de millions de noyaux identiques. Il s’agit probablement, toutes catégories confondues, de l’une des plus grandes cellules du monde vivant.
Il est temps d’observer comment cette créature se comporte : si vous voulez mon avis, les images ci-contre se passent d’un long discours…

Couverture de La Salamandre n°171

Cet article est extrait de la Revue Salamandre

n° 171  Décembre 2005 - Janvier 2006, article initialement paru sous le titre "Géant !"
Catégorie

Photos

Ces produits pourraient vous intéresser

Une vie pour la nature

19.90 €

Agir pour la nature – Balcons et terrasses

19.90 €

Le grand livre de la nature

69.00 €

Les plantes sauvages

49.00 €

Découvrir tous nos produits

Poursuivez votre découverte

Ceci n’est pas
Ceci n’est pas

Myxomycètes, d’incroyables organismes qui ne sont pas des champignons

Les myxomycètes sont d'incroyables organismes que l'on prend souvent pour des champignons. Ils sont en fait à classer à part.

Photos
Photos
Abonnés

Myxomycète : animal ou champignon ?

Derrière leur aspect de champignon informe aux couleurs vives, les myxomycètes se déplacent et se transforment pourtant comme des animaux.

Sciences
Sciences
Abonnés

Myxomycète, un être vivant inclassable  ?

Les scientifiques nous dévoilent souvent le côté surprenant du monde. Le myxomycète en est le plus spectaculaire exemple.

Nos 3 revues

Revue Salamandre

Plongez au coeur d'une nature insolite près de chez vous

Découvrir la revue
8-12
ans

Salamandre Junior (8 - 12 ans)

Donnez envie aux enfants d'explorer et de protéger la nature

Découvrir le magazine
4-7
ans

Petite Salamandre (4 - 7 ans)

Faites découvrir aux petits la nature de manière ludique

Découvrir le magazine

La Salamandre est un éditeur indépendant et sans but lucratif entièrement dédié à une cause essentielle : faire aimer la nature. Partez à la rencontre d'animaux petits et grands ou de plantes incroyables qui vivent tout près de chez vous.

Salamandre newsletter
Nos images sont protégées par un copyright,
merci de ne pas les utiliser sans l'accord de l'auteur